Valgus deformity of the first toe most often affects middle-aged women, but it also affects men.A deformed base of the thumb is not aesthetically pleasing.In this case, the person feels physical discomfort and, in advanced stages, pain.Big toe deviation is the result of uneven body loading on the foot.Such changes have a detrimental effect on the feet and other fingers.
Causes of curvature

Hallux valgus does not occur for no apparent reason.This pathology appears and develops under the influence of various reasons.Hallux valgus most often affects people genetically predisposed to this disease.Doctors note the following causes of deformity of a toe:
- Excess body weight.
- Endocrine diseases.
- Osteoporosis.
- Flat feet.
- Diabetes mellitus.
- Psoriasis.
- Arthritis.
- Hormonal changes during pregnancy and old age.
- Wear tight shoes.
- The specificity of the profession, forcing a person to endure increased physical activity on their legs every day.
Stages and varieties
Doctors consider 3 stages of disease progression:
- Subtle valgus deviation.Redness of the skin appears, as well as minor abrasions.Discomfort when walking.
- A growth is already clearly visible on the thumb.Swelling and pain are observed.
- This form of the disease is considered advanced.A person is bothered by constant, unbearable pain in the big toe and throughout the foot, as well as the appearance of keratinized skin.The pain does not go away even during sleep.
The development of unpleasant hallux valgus is influenced by many factors.Experts have identified the following types of finger deformities as a separate category:
- Cross deformation.The curvature occurs in different directions.Fingers crossed.
- Curvature of the joints so much that they are always in a bent position.At the first stage of development of pathology, the fingers can be forced to straighten using the hands.If treatment is not started at this time, the fingers will become so stiff that you will no longer be able to straighten them with your hands.Now it is impossible to do without surgery.
- The Taylor deformation.Pathology affecting the little fingers.Characterized by the appearance of a growth on the bones.
- Curvature of the phalanges, resembling hooks.

Experts include ballerinas at risk of developing hallux valgus.Dancing on your toes puts increased pressure on your toes, causing them to curl.An incorrect approach can also lead to undesirable results.The provoking factors are aggravated even by age.
Diagnostic methods
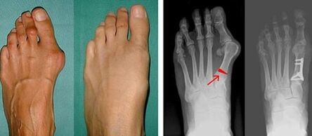
If the visual examination and x-rays yield no results, the patient is then referred to a plantography to determine possible flat feet.This method involves taking footprints, on the basis of which shoes or insoles with orthopedic properties are made for the patient.The patient is then prescribed podometry.This method uses computer analysis to determine the pressure of a person's weight on the feet.The results of advanced diagnostics form the basis for choosing a treatment method for curvature of the first and second toe.
The disadvantage of X-ray examination is the need to irradiate the patient's legs, which many patients do not like.They think it is too dangerous a method.In this regard, effective treatment of hallux valgus cannot be started without the results of plantography.

This is the best informative diagnostic method.With its help, the doctor determines not only the presence of flat feet, but also the condition of the arch of the foot.Computer examination is the most effective way to detect flat feet.
As the first step in identifying valgus of the big and little toe, the doctor conducts a visual examination.In this way, it determines the stage of development of the pathology.In order to identify detailed changes in the joints, x-rays and plantography are prescribed.
Drug therapy
It is better to start gentle treatment of the foot, as well as the big toe, before the final stage of development of the pathology comes.Experts know how to treat this pathology, but they do not know how to cure the advanced form of the disease without surgery.First of all, doctors determine the cause of the curvature of the fingers, as well as the presence of aggravating factors.As you know, the task of drug treatment includes symptomatic treatment.This means that pain, inflammation and swelling are eliminated.
Most often, patients are prescribed nonsteroidal anti-inflammatory drugs.In addition to their main function, they reduce pain and fever.In case of complications, hormonal corticosteroids are often prescribed.If the deformation of the fingers is caused by diseases of the internal organs, the joints can be corrected after the underlying pathology has healed.In this case, endocrinologists are involved in the problem along with other highly specialized specialists.Many people try to treat themselves with folk remedies, forgetting that this is possible only at the initial stage of the development of pathology.
If the pathology is detected at the initial stage, the crooked thumb is straightened using devices - plastic or silicone pads with orthopedic properties.During treatment, you should wear soft, roomy shoes.To straighten crooked fingers, orthopedic insoles, arch supports and other correctors are used.Deformed fingers are fixed with special splints, rings, caps and combs.With the help of such devices, the fingers are held in the correct position.Thanks to orthopedic fixators, the development of further deformity of the fingers stops.
There are two ways to treat hallux valgus.The first is a painless correction of the deformity that does not require surgical intervention and rehabilitation, the second is surgical treatment.
Surgical methods of treatment

Complete cure of hallux valgus is only possible with the help of a surgeon's scalpel.Sometimes one operation is enough and the patient forgets about the problem forever.The doctor carries out surgical intervention taking into account the type of hallux valgus deformity.The most common types of operations are:
- Exostectomy.Only a certain part of the metatarsal bone is removed.
- Resection arthroplasty.The end part of the metatarsal bone is removed.
- Osteotomy.It is used to remove the metatarsal bone, as well as a small element of the phalanx.
- Resection.The operation aims to remove affected soft tissue and then transplant healthy tissue in their place.
- Arthrodesis.Provides forced immobility of the joints.
- Distal osteotomy.The operation involves reducing the angle between the joints.
- Removal of the inflamed bursa of the big toe.
- Implant placement.
The rehabilitation period after surgery can last up to seven weeks.During these few weeks, specific preventive measures are generally implemented.First of all, these are therapeutic exercises which promote:
- improve health status;
- reduce pain when walking;
- increase the tone of the leg muscles;
- installation and fixing of the deformed joint in its natural position.
The duration of the rehabilitation period most often depends on the complexity of the operation.To speed up recovery, you should start moving your fingers the next day.After a week, the patient can already get up and, taking precautions, move slowly.The main thing is to avoid prolonged stress.
After the operation, you will need high-quality, spacious, soft shoes.It is purchased on the recommendation of a doctor.By the way, if you start doing therapeutic exercises at the very beginning of the development of hallux valgus, you can not only do without surgical intervention, but also without wasting money on various devices, ointments and medications.
Experts claim that the surgical treatment option gives almost one hundred percent positive results.This gentle treatment method requires no anesthesia and does not cause stress or psychological distress.However, painless treatment methods cannot save a person from the last stage of the disease.
Preventive measures

Preventive measures are quite simple: wear comfortable shoes with a wide toe, the inside of which does not exert pressure on the toes.The joints in particular and the feet in general are capable of supporting the weight accumulated during human growth without causing damage.It is therefore very important to monitor your weight to avoid obesity.
One of the effective preventive exercises is as follows: a person, sitting on a chair, with his feet on the floor, moves them with his fingers.
The next exercise involves walking barefoot on the floor, alternately on your tiptoes and heels.
Simple gymnastics are mastered quickly, which gives rise to more complex physical exercises.You can then perform actions such as picking up a pencil or any other object on the ground.
It is better to prevent thumb deformity than to stand in line at medical institutions in order to receive the doctor's recommendations on choosing an effective treatment.























